Bezśrubowe implanty zębów to nowoczesne rozwiązanie w dziedzinie stomatologii, które zyskuje coraz większą popularność. W przeciwieństwie do tradycyjnych implantów, które wymagają użycia śrub do mocowania, bezśrubowe implanty opierają się na innowacyjnej technologii, która pozwala na ich stabilizację bez potrzeby stosowania dodatkowych elementów. Tego rodzaju implanty są projektowane tak, aby idealnie wpasowywały się w kość szczęki, co zapewnia ich trwałość oraz komfort noszenia. Proces ich wszczepienia jest mniej inwazyjny, co oznacza krótszy czas rekonwalescencji oraz mniejsze ryzyko powikłań. Bezśrubowe implanty są często wykonane z materiałów biokompatybilnych, co minimalizuje ryzyko reakcji alergicznych. Dzięki swojej konstrukcji, te implanty mogą być stosowane w różnych sytuacjach klinicznych, a ich elastyczność sprawia, że są odpowiednie dla pacjentów o różnych potrzebach stomatologicznych.
Jakie są zalety i wady bezśrubowych implantów zębów?
Bezśrubowe implanty zębów mają wiele zalet, które przyciągają uwagę pacjentów oraz dentystów. Jedną z najważniejszych korzyści jest mniejsza inwazyjność zabiegu wszczepienia, co przekłada się na szybszy czas gojenia oraz mniejsze ryzyko powikłań. Pacjenci często doświadczają mniejszego bólu i dyskomfortu po zabiegu w porównaniu do tradycyjnych metod. Dodatkowo, brak śrub sprawia, że proces instalacji jest prostszy i szybszy, co może obniżyć koszty całej procedury. Z drugiej strony jednak istnieją pewne wady związane z tym rozwiązaniem. Nie każdy pacjent jest odpowiednim kandydatem do zastosowania bezśrubowych implantów, ponieważ ich skuteczność może być ograniczona w przypadku niewystarczającej ilości kości lub innych problemów zdrowotnych. Ponadto technologia ta jest stosunkowo nowa, co oznacza, że nie ma jeszcze wystarczających danych dotyczących długoterminowej trwałości tych implantów.
Jakie są różnice między tradycyjnymi a bezśrubowymi implantami?

Różnice między tradycyjnymi a bezśrubowymi implantami zębów są znaczące i mogą wpływać na wybór metody leczenia przez pacjentów. Tradycyjne implanty wymagają użycia śrub do mocowania ich w kości szczęki, co wiąże się z bardziej skomplikowanym procesem chirurgicznym oraz dłuższym czasem gojenia. W przypadku bezśrubowych implantów nie ma potrzeby stosowania dodatkowych elementów mocujących, co upraszcza cały proces i zmniejsza ryzyko powikłań. Kolejną różnicą jest materiał używany do produkcji tych implantów; tradycyjne często wykonane są z tytanu, podczas gdy nowoczesne bezśrubowe mogą być tworzone z biokompatybilnych materiałów ceramicznych lub kompozytowych. To sprawia, że są one bardziej estetyczne i mniej widoczne po wszczepieniu. Warto również zauważyć, że czas rekonwalescencji po zabiegu bezśrubowym jest zazwyczaj krótszy niż w przypadku tradycyjnych rozwiązań.
Kto powinien rozważyć zastosowanie bezśrubowych implantów zębów?
Bezśrubowe implanty zębów mogą być doskonałym rozwiązaniem dla wielu pacjentów poszukujących alternatywy dla tradycyjnych metod leczenia ubytków zębowych. Osoby cierpiące na lęk przed zabiegami chirurgicznymi mogą szczególnie skorzystać z tej technologii ze względu na jej mniejszą inwazyjność oraz krótki czas rekonwalescencji. Pacjenci z ograniczoną ilością kości szczęki również mogą rozważyć tę opcję, ponieważ niektóre modele bezśrubowe zostały zaprojektowane tak, aby mogły być stosowane nawet w trudniejszych warunkach anatomicznych. Dodatkowo osoby szukające estetycznych rozwiązań mogą docenić fakt, że wiele bezśrubowych implantów wykonanych jest z materiałów ceramicznych, które lepiej imitują naturalny wygląd zębów.
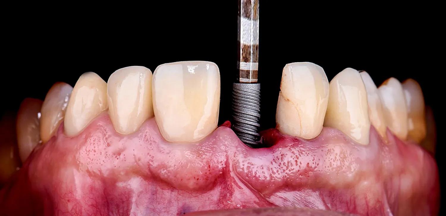
Jakie są etapy wszczepienia bezśrubowych implantów zębów?
Wszczepienie bezśrubowych implantów zębów to proces, który składa się z kilku kluczowych etapów, mających na celu zapewnienie skuteczności oraz bezpieczeństwa zabiegu. Pierwszym krokiem jest dokładna diagnostyka, która obejmuje badania obrazowe, takie jak zdjęcia rentgenowskie czy tomografia komputerowa. Dzięki tym badaniom dentysta może ocenić stan kości oraz zaplanować odpowiednie miejsce na wszczepienie implantu. Następnie pacjent przechodzi przez etap przygotowania, który może obejmować leczenie ewentualnych infekcji lub stanów zapalnych w jamie ustnej. Po przygotowaniu następuje właściwy zabieg wszczepienia implantu, który odbywa się w znieczuleniu miejscowym. W przypadku bezśrubowych implantów procedura jest zazwyczaj szybsza i mniej inwazyjna niż w przypadku tradycyjnych rozwiązań. Po wszczepieniu implantu następuje okres gojenia, który trwa od kilku tygodni do kilku miesięcy, w zależności od indywidualnych warunków pacjenta. W tym czasie implant integruje się z kością szczęki.
Jakie są koszty związane z bezśrubowymi implantami zębów?
Koszty związane z bezśrubowymi implantami zębów mogą się znacznie różnić w zależności od wielu czynników, takich jak lokalizacja gabinetu stomatologicznego, doświadczenie lekarza oraz użyte materiały. W porównaniu do tradycyjnych implantów, które często wymagają dodatkowych zabiegów przygotowawczych, takich jak przeszczepy kości, bezśrubowe rozwiązania mogą być bardziej opłacalne dla pacjentów. Koszt samego wszczepienia implantu zazwyczaj obejmuje również konsultacje przed zabiegiem oraz kontrolne wizyty po jego zakończeniu. Warto jednak pamiętać, że cena nie zawsze powinna być jedynym czynnikiem decydującym o wyborze metody leczenia; jakość materiałów oraz doświadczenie specjalisty są równie istotne. Niektóre kliniki oferują możliwość rozłożenia płatności na raty lub współpracują z firmami ubezpieczeniowymi, co może znacząco obniżyć koszty dla pacjentów.
Jak dbać o bezśrubowe implanty zębów po ich wszczepieniu?
Prawidłowa pielęgnacja bezśrubowych implantów zębów jest kluczowa dla ich długotrwałej funkcjonalności oraz zdrowia jamy ustnej. Po zabiegu wszczepienia implantu ważne jest przestrzeganie zaleceń lekarza dotyczących higieny oraz diety. W pierwszych dniach po zabiegu zaleca się unikanie twardych i gorących pokarmów, aby nie podrażnić okolicy wokół implantu. Regularne szczotkowanie zębów oraz stosowanie nici dentystycznej powinno stać się codziennym nawykiem, aby zapobiec gromadzeniu się płytki nazębnej i kamienia. Dodatkowo warto rozważyć stosowanie płynów do płukania jamy ustnej zawierających składniki antybakteryjne, które pomogą w utrzymaniu zdrowia dziąseł. Regularne wizyty kontrolne u stomatologa są również niezbędne do monitorowania stanu implantu oraz otaczających tkanek. Specjalista może zalecić dodatkowe zabiegi profilaktyczne lub dostosować plan leczenia w zależności od potrzeb pacjenta.
Jakie są najnowsze osiągnięcia w technologii bezśrubowych implantów?
Technologia bezśrubowych implantów zębów dynamicznie się rozwija i wprowadza coraz to nowsze rozwiązania mające na celu poprawę jakości leczenia oraz komfortu pacjentów. Jednym z najnowszych osiągnięć jest zastosowanie materiałów ceramicznych o wysokiej wytrzymałości i estetyce, które lepiej imitują naturalne zęby i są bardziej biokompatybilne niż tradycyjne tytanowe implanty. Ponadto rozwijają się techniki cyfrowego projektowania i druku 3D, które umożliwiają precyzyjne dopasowanie implantu do indywidualnych potrzeb pacjenta już na etapie planowania zabiegu. Dzięki temu możliwe jest osiągnięcie lepszej integracji implantu z kością oraz zmniejszenie ryzyka powikłań. Innowacyjne podejścia obejmują także wykorzystanie technologii nanotechnologicznych do poprawy powierzchni implantu, co sprzyja szybszemu osadzaniu się tkanki kostnej i przyspiesza proces gojenia. Badania nad zastosowaniem komórek macierzystych w regeneracji tkanek kostnych również otwierają nowe możliwości w kontekście wszczepiania implantów w trudnych warunkach anatomicznych.
Jakie są opinie pacjentów na temat bezśrubowych implantów?
Opinie pacjentów na temat bezśrubowych implantów zębów są zazwyczaj pozytywne i wskazują na wiele korzyści związanych z tym nowoczesnym rozwiązaniem stomatologicznym. Pacjenci często podkreślają mniejszy ból oraz dyskomfort podczas zabiegu w porównaniu do tradycyjnych metod wszczepiania implantów, co czyni całą procedurę bardziej komfortową. Dodatkowo wiele osób zauważa szybszy czas rekonwalescencji oraz możliwość powrotu do codziennych aktywności już po kilku dniach od zabiegu. Estetyka bezśrubowych implantów również cieszy się uznaniem; pacjenci chwalą ich naturalny wygląd oraz to, że są mniej widoczne niż tradycyjne rozwiązania tytanowe. Niemniej jednak niektórzy pacjenci mogą mieć obawy dotyczące nowości tej technologii i braku długoterminowych danych dotyczących jej trwałości.
Czy każdy może skorzystać z bezśrubowych implantów zębów?
Choć bezśrubowe implanty zębów oferują wiele korzyści, nie każdy pacjent może być odpowiednim kandydatem do ich zastosowania. Kluczowym czynnikiem jest stan zdrowia jamy ustnej oraz ilość dostępnej kości szczęki, która jest niezbędna do stabilizacji implantu. Osoby cierpiące na choroby przyzębia lub inne schorzenia mogą wymagać wcześniejszego leczenia przed przystąpieniem do zabiegu wszczepienia implantu. Dodatkowo palenie tytoniu może negatywnie wpływać na proces gojenia i integracji implantu z kością, dlatego lekarze często zalecają zaprzestanie palenia przed i po zabiegu. Osoby z chorobami przewlekłymi takimi jak cukrzyca powinny być szczególnie ostrożne i skonsultować swoje plany leczenia ze specjalistą, aby ocenić ryzyko powikłań.
Jakie są różnice w procesie gojenia po wszczepieniu implantów?
Proces gojenia po wszczepieniu bezśrubowych implantów zębów różni się od tego, co obserwuje się w przypadku tradycyjnych rozwiązań. W przypadku implantów bezśrubowych, dzięki ich konstrukcji i mniejszej inwazyjności, pacjenci często doświadczają szybszego procesu gojenia. Mniej traumatyczne podejście do zabiegu sprzyja lepszemu ukrwieniu tkanek oraz szybszej regeneracji. Pacjenci mogą zauważyć, że ból oraz obrzęk po zabiegu są znacznie mniejsze niż w przypadku tradycyjnych implantów, co wpływa na ich komfort psychiczny i fizyczny. Warto jednak pamiętać, że każdy organizm jest inny i czas gojenia może się różnić w zależności od indywidualnych predyspozycji pacjenta oraz jego stanu zdrowia. Regularne kontrole u stomatologa są kluczowe dla monitorowania postępu gojenia oraz wczesnego wykrywania ewentualnych komplikacji.



