Chirurgia stomatologiczna w Szczecinie obejmuje szereg różnorodnych zabiegów, które mają na celu poprawę zdrowia jamy ustnej oraz estetyki uśmiechu. Wśród najczęściej wykonywanych procedur znajdują się ekstrakcje zębów, które są niezbędne w przypadku zębów mocno uszkodzonych lub zainfekowanych. Kolejnym popularnym zabiegiem jest chirurgiczne usuwanie ósemek, które często powodują problemy ortodontyczne oraz ból. Wiele osób decyduje się także na implanty zębowe, które stanowią doskonałą alternatywę dla brakujących zębów i pozwalają na przywrócenie pełnej funkcji żucia. W Szczecinie można również skorzystać z zabiegów związanych z regeneracją kości, co jest szczególnie istotne dla pacjentów planujących wszczepienie implantów.
Jakie są koszty zabiegów chirurgii stomatologicznej w Szczecinie
Koszty zabiegów chirurgii stomatologicznej w Szczecinie mogą się znacznie różnić w zależności od rodzaju przeprowadzanego zabiegu oraz doświadczenia specjalisty. Ekstrakcja zęba to jeden z tańszych zabiegów, którego cena zazwyczaj oscyluje wokół kilkudziesięciu złotych, jednak w przypadku bardziej skomplikowanych przypadków może wzrosnąć. Usunięcie ósemki często wiąże się z wyższymi kosztami, które mogą wynosić od kilku do kilkunastu stówek, zwłaszcza jeśli wymaga to dodatkowych procedur, takich jak narkoza czy chirurgiczne cięcie. Implanty zębowe to zdecydowanie największy wydatek w tej dziedzinie, a ich cena może sięgać nawet kilku tysięcy złotych za jeden implant, co sprawia, że wiele osób decyduje się na rozłożenie kosztów na raty lub korzystanie z różnych form finansowania.
Jak wygląda proces leczenia w chirurgii stomatologicznej w Szczecinie

Proces leczenia w chirurgii stomatologicznej w Szczecinie rozpoczyna się od dokładnej diagnostyki i oceny stanu zdrowia pacjenta. Lekarz stomatolog przeprowadza szczegółowy wywiad medyczny oraz wykonuje niezbędne badania obrazowe, takie jak zdjęcia rentgenowskie. Na podstawie tych informacji specjalista opracowuje indywidualny plan leczenia, który uwzględnia potrzeby pacjenta oraz jego oczekiwania. Następnie następuje etap samego zabiegu, który odbywa się zazwyczaj w warunkach ambulatoryjnych. Pacjent otrzymuje odpowiednie znieczulenie, a lekarz przystępuje do wykonania zaplanowanej procedury. Po zakończeniu zabiegu pacjent jest informowany o zasadach postępowania pooperacyjnego oraz ewentualnych objawach, na które powinien zwrócić uwagę. Kontrola pooperacyjna jest kluczowym elementem procesu leczenia i pozwala lekarzowi ocenić efekty przeprowadzonego zabiegu oraz wdrożyć ewentualne dodatkowe działania terapeutyczne.
Jakie są zalety korzystania z usług chirurgii stomatologicznej w Szczecinie
Korzystanie z usług chirurgii stomatologicznej w Szczecinie niesie ze sobą wiele korzyści dla pacjentów pragnących zadbać o zdrowie swoich zębów oraz estetykę uśmiechu. Przede wszystkim dostępność nowoczesnych technologii oraz wysokiej jakości materiałów sprawia, że zabiegi są coraz bardziej skuteczne i mniej inwazyjne niż kiedykolwiek wcześniej. Specjaliści pracujący w szczecińskich klinikach dysponują szeroką wiedzą oraz doświadczeniem, co przekłada się na wysoką jakość świadczonych usług. Dodatkowo wiele gabinetów oferuje indywidualne podejście do pacjenta i dostosowują metody leczenia do jego potrzeb oraz oczekiwań. Warto również zwrócić uwagę na komfort i bezpieczeństwo podczas zabiegów – nowoczesne techniki znieczulenia minimalizują ból i dyskomfort związany z procedurami chirurgicznymi.
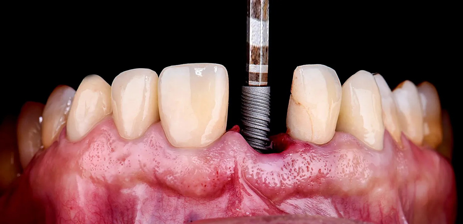
Jakie są najnowsze technologie w chirurgii stomatologicznej w Szczecinie
W ostatnich latach chirurgia stomatologiczna w Szczecinie zyskała na znaczeniu dzięki zastosowaniu nowoczesnych technologii, które znacznie poprawiają komfort pacjentów oraz efektywność zabiegów. Jednym z najważniejszych osiągnięć jest wprowadzenie technologii cyfrowego obrazowania, która pozwala na dokładniejsze diagnozowanie problemów stomatologicznych. Dzięki tomografii komputerowej lekarze mogą uzyskać trójwymiarowy obraz kości szczęki, co ułatwia planowanie zabiegów implantologicznych oraz chirurgicznych. Kolejnym istotnym elementem jest wykorzystanie laserów w chirurgii stomatologicznej, które umożliwiają precyzyjne usuwanie tkanek oraz redukcję krwawienia. Lasery są również stosowane w leczeniu chorób przyzębia oraz w procedurach estetycznych, takich jak konturowanie dziąseł. Warto także wspomnieć o zastosowaniu systemów CAD/CAM, które pozwalają na szybkie i precyzyjne wykonanie protez oraz koron zębowych, co znacznie skraca czas oczekiwania pacjentów na finalizację leczenia.
Jakie są opinie pacjentów o chirurgii stomatologicznej w Szczecinie
Opinie pacjentów dotyczące chirurgii stomatologicznej w Szczecinie są zróżnicowane, jednak wiele osób podkreśla wysoką jakość usług oraz profesjonalizm specjalistów. Pacjenci często chwalą sobie indywidualne podejście lekarzy, którzy starają się szczegółowo wyjaśnić każdy etap leczenia oraz odpowiedzieć na wszelkie pytania. Wiele osób zwraca uwagę na komfort i bezpieczeństwo podczas zabiegów, co jest szczególnie istotne dla tych, którzy obawiają się bólu czy nieprzyjemnych doświadczeń związanych z leczeniem stomatologicznym. Wiele klinik oferuje także możliwość znieczulenia ogólnego lub sedacji, co dodatkowo zwiększa komfort pacjentów. Z drugiej strony niektórzy pacjenci wskazują na wysokie koszty niektórych zabiegów, szczególnie implantacji zębów czy regeneracji kości. Niemniej jednak większość osób uważa, że inwestycja w zdrowie jamy ustnej jest opłacalna i przynosi długoterminowe korzyści.
Jak przygotować się do wizyty w gabinecie chirurgii stomatologicznej w Szczecinie
Przygotowanie się do wizyty w gabinecie chirurgii stomatologicznej w Szczecinie jest kluczowe dla zapewnienia sobie komfortu oraz skuteczności przeprowadzanego zabiegu. Przede wszystkim warto umówić się na wizytę konsultacyjną, podczas której lekarz oceni stan zdrowia jamy ustnej oraz przedstawi plan leczenia. Warto zabrać ze sobą dokumentację medyczną oraz listę przyjmowanych leków, aby lekarz mógł dokładnie ocenić ewentualne przeciwwskazania do zabiegu. Dobrze jest także unikać spożywania alkoholu oraz palenia papierosów na kilka dni przed wizytą, ponieważ może to wpłynąć na proces gojenia się ran pooperacyjnych. W dniu zabiegu warto zadbać o wygodny strój i przybyć do gabinetu z osobą towarzyszącą, która pomoże po zakończeniu procedury. Jeśli planowany jest zabieg wymagający znieczulenia ogólnego lub sedacji, należy przestrzegać zaleceń dotyczących jedzenia i picia przed wizytą.
Jakie są najczęstsze powikłania po zabiegach chirurgii stomatologicznej w Szczecinie
Powikłania po zabiegach chirurgii stomatologicznej mogą wystąpić, choć są stosunkowo rzadkie dzięki postępom medycyny i staranności specjalistów. Najczęściej zgłaszanymi problemami są ból i obrzęk w okolicy operowanej, które mogą utrzymywać się przez kilka dni po zabiegu. W przypadku ekstrakcji zębów mogą wystąpić również krwawienia, które zazwyczaj ustępują samoistnie po kilku godzinach. Inne potencjalne powikłania to infekcje bakteryjne, które mogą wymagać dodatkowego leczenia antybiotykami. Niekiedy dochodzi także do uszkodzenia nerwów znajdujących się blisko operowanej okolicy, co może prowadzić do drętwienia lub bólu promieniującego do innych części twarzy. Ważne jest, aby pacjenci byli świadomi tych ryzyk i zgłaszali wszelkie niepokojące objawy swojemu lekarzowi. Regularne wizyty kontrolne po zabiegach pozwalają na szybką identyfikację ewentualnych problemów i wdrożenie odpowiednich działań terapeutycznych.
Jak znaleźć dobrego chirurga stomatologicznego w Szczecinie
Znalezienie dobrego chirurga stomatologicznego w Szczecinie może być kluczowe dla sukcesu leczenia i komfortu pacjenta. Pierwszym krokiem powinno być poszukiwanie rekomendacji od znajomych lub rodziny, którzy mieli pozytywne doświadczenia z danym specjalistą. Można również skorzystać z internetowych platform opinii pacjentów, gdzie można znaleźć recenzje dotyczące różnych gabinetów i lekarzy. Ważne jest również sprawdzenie kwalifikacji i doświadczenia chirurga – warto zwrócić uwagę na jego wykształcenie oraz odbyte szkolenia specjalistyczne związane z chirurgią stomatologiczną. Dobrze jest również umówić się na konsultację przed podjęciem decyzji o leczeniu – podczas takiej wizyty można ocenić podejście lekarza do pacjenta oraz jego umiejętności komunikacyjne. Kolejnym aspektem jest wyposażenie gabinetu – nowoczesny sprzęt medyczny może świadczyć o wysokim standardzie usług świadczonych przez danego specjalistę.
Jakie są różnice między chirurgią stomatologiczną a innymi dziedzinami stomatologii
Chirurgia stomatologiczna różni się od innych dziedzin stomatologii przede wszystkim zakresem wykonywanych procedur oraz podejściem do leczenia pacjentów. Podczas gdy tradycyjna stomatologia koncentruje się głównie na profilaktyce oraz leczeniu chorób zębów i dziąseł poprzez takie działania jak plombowanie czy leczenie kanałowe, chirurgia stomatologiczna obejmuje bardziej inwazyjne procedury wymagające interwencji chirurgicznej. Do takich zabiegów zalicza się ekstrakcje zębów, wszczepianie implantów czy rekonstrukcję kości szczęki. Chirurdzy stomatologiczni często współpracują z innymi specjalistami, takimi jak ortodonci czy protetycy, aby zapewnić kompleksową opiekę nad pacjentem. Ponadto chirurgia stomatologiczna wymaga od lekarzy dodatkowego kształcenia i szkoleń związanych z technikami operacyjnymi oraz zarządzaniem powikłaniami pooperacyjnymi.




