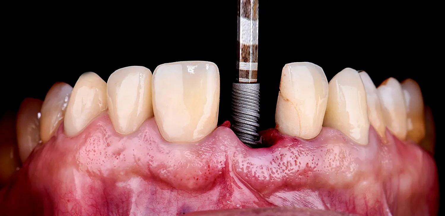
Implanty zębów to nowoczesne rozwiązanie stomatologiczne, które ma na celu zastąpienie utraconych zębów. Są to małe tytanowe śruby, które są wszczepiane w kość szczęki lub żuchwy, a następnie pokrywane koronami, mostami lub protezami. Proces ich zakupu zaczyna się od dokładnej diagnostyki, która obejmuje zdjęcia rentgenowskie oraz konsultacje ze specjalistą. Dzięki tym badaniom lekarz ocenia stan kości oraz ogólną kondycję jamy ustnej pacjenta. W przypadku wystarczającej ilości tkanki kostnej, implanty mogą być wszczepione bez większych problemów. W przeciwnym razie może być konieczne przeprowadzenie zabiegu augmentacji kości, który polega na uzupełnieniu brakującej tkanki kostnej. Po wszczepieniu implantów następuje proces osteointegracji, który trwa zazwyczaj kilka miesięcy. W tym czasie implanty łączą się z kością, co zapewnia ich stabilność i trwałość.
Jakie są zalety implantów zębów dla pacjentów
Implanty zębów oferują szereg korzyści, które przyciągają coraz więcej pacjentów do tego rodzaju leczenia. Przede wszystkim, implanty pozwalają na zachowanie naturalnego wyglądu uśmiechu, co jest niezwykle istotne dla wielu osób. Dzięki nim można uniknąć problemów związanych z noszeniem tradycyjnych protez, które często są niewygodne i mogą powodować dyskomfort podczas jedzenia czy mówienia. Implanty są również bardzo trwałe i mogą służyć przez wiele lat, a nawet całe życie przy odpowiedniej pielęgnacji. Kolejną zaletą jest to, że nie wpływają one negatywnie na sąsiednie zęby, co często zdarza się w przypadku mostów protetycznych. Ponadto, implanty pomagają w utrzymaniu struktury kości szczęki, co zapobiega jej zanikanie po utracie zęba. Dzięki temu pacjenci mogą cieszyć się lepszą jakością życia oraz większą pewnością siebie.
Jak przebiega proces wszczepiania implantów zębów

Proces wszczepiania implantów zębów składa się z kilku kluczowych etapów, które są starannie zaplanowane przez dentystę. Na początku pacjent przechodzi szczegółowe badania diagnostyczne oraz konsultacje stomatologiczne. Po ocenie stanu zdrowia jamy ustnej lekarz podejmuje decyzję o możliwości przeprowadzenia zabiegu. Jeśli wszystko jest w porządku, przystępuje do pierwszego etapu – wszczepienia implantu. Zabieg ten odbywa się w znieczuleniu miejscowym i trwa zazwyczaj od jednej do dwóch godzin. Po umieszczeniu implantu w kości następuje okres gojenia, który może trwać od kilku tygodni do kilku miesięcy. W tym czasie organizm pacjenta integruje implant z kością. Gdy proces osteointegracji zostanie zakończony pomyślnie, można przystąpić do kolejnego etapu – wykonania korony protetycznej lub innego uzupełnienia protetycznego.
Czy każdy może zdecydować się na implanty zębów
Decyzja o wszczepieniu implantów zębów nie jest dla każdego pacjenta jednoznaczna i wymaga indywidualnej oceny przez specjalistę. Istnieje kilka czynników, które mogą wpłynąć na możliwość przeprowadzenia tego zabiegu. Przede wszystkim ważny jest stan zdrowia ogólnego pacjenta oraz kondycja jamy ustnej. Osoby cierpiące na choroby takie jak cukrzyca czy choroby serca mogą wymagać dodatkowych badań przed podjęciem decyzji o wszczepieniu implantów. Kolejnym czynnikiem jest ilość dostępnej tkanki kostnej; jeśli jej brakuje, może być konieczne przeprowadzenie dodatkowych zabiegów chirurgicznych przed wszczepieniem implantu. Również wiek pacjenta ma znaczenie; chociaż nie ma górnej granicy wiekowej dla tego typu zabiegów, młodsze osoby powinny mieć już zakończony rozwój kości.
Jakie są koszty związane z implantami zębów
Koszty związane z implantami zębów mogą się znacznie różnić w zależności od wielu czynników, takich jak lokalizacja gabinetu stomatologicznego, doświadczenie lekarza oraz rodzaj używanych materiałów. W Polsce ceny za pojedynczy implant wahają się zazwyczaj od kilku do kilkunastu tysięcy złotych. Warto jednak pamiętać, że cena nie obejmuje tylko samego implantu, ale również kosztów związanych z konsultacjami, diagnostyką, zabiegami chirurgicznymi oraz wykonaniem koron protetycznych. W przypadku bardziej skomplikowanych przypadków, takich jak brak kości czy konieczność przeprowadzenia dodatkowych zabiegów, całkowity koszt może wzrosnąć. Niektóre kliniki oferują możliwość rozłożenia płatności na raty lub współpracują z instytucjami finansowymi, co może ułatwić pacjentom sfinansowanie leczenia.
Jak dbać o implanty zębów po ich wszczepieniu
Prawidłowa pielęgnacja implantów zębów jest kluczowa dla ich długowieczności oraz zdrowia jamy ustnej. Po wszczepieniu implantu pacjent powinien stosować się do zaleceń lekarza dotyczących higieny jamy ustnej. Należy regularnie szczotkować zęby co najmniej dwa razy dziennie oraz używać nici dentystycznej do czyszczenia przestrzeni międzyzębowych. Ważne jest również unikanie twardych pokarmów oraz nadmiernego obciążania implantu w pierwszych tygodniach po zabiegu, aby umożliwić prawidłowe gojenie się tkanek. Regularne wizyty kontrolne u dentysty są niezbędne do monitorowania stanu zdrowia implantu oraz otaczających go tkanek. Dentysta może zalecić dodatkowe zabiegi higieniczne, takie jak skaling czy piaskowanie, które pomogą utrzymać implanty w dobrym stanie.
Jakie są najczęstsze mity dotyczące implantów zębów
Wokół implantów zębów narosło wiele mitów i nieporozumień, które mogą wpływać na decyzje pacjentów o podjęciu leczenia. Jednym z najczęstszych mitów jest przekonanie, że wszczepienie implantu jest bardzo bolesnym zabiegiem. W rzeczywistości większość pacjentów zgłasza jedynie niewielki dyskomfort po zabiegu, który można łatwo złagodzić lekami przeciwbólowymi. Innym mitem jest to, że implanty są widoczne i psują estetykę uśmiechu; nowoczesne implanty są projektowane tak, aby wyglądały jak naturalne zęby i były praktycznie niewidoczne. Kolejnym powszechnym błędnym przekonaniem jest to, że implanty wymagają specjalnej pielęgnacji; w rzeczywistości wystarczy stosować standardowe zasady higieny jamy ustnej. Niektórzy pacjenci obawiają się również, że implanty mogą powodować problemy zdrowotne lub reakcje alergiczne; jednak tytan używany do produkcji implantów jest biokompatybilny i rzadko wywołuje reakcje alergiczne.
Jak długo trwa proces gojenia po wszczepieniu implantów
Czas gojenia po wszczepieniu implantów zębów może być różny w zależności od indywidualnych predyspozycji pacjenta oraz specyfiki zabiegu. Zazwyczaj proces osteointegracji, czyli łączenia się implantu z kością, trwa od trzech do sześciu miesięcy. W tym czasie ważne jest przestrzeganie zaleceń lekarza oraz dbanie o higienę jamy ustnej. Po zakończeniu tego etapu można przystąpić do wykonania korony protetycznej lub innego uzupełnienia protetycznego. W przypadku pacjentów z dobrą jakością kości proces gojenia przebiega zazwyczaj szybciej niż u osób z problemami kostnymi lub innymi schorzeniami ogólnymi. Warto również zauważyć, że niektóre kliniki oferują rozwiązania typu „natychmiastowe obciążenie”, które pozwalają na umieszczenie tymczasowej korony już w dniu zabiegu wszczepienia implantu.
Jakie są alternatywy dla implantów zębów
Dla osób, które nie mogą lub nie chcą zdecydować się na wszczepienie implantów zębów istnieje kilka alternatywnych rozwiązań protetycznych. Najpopularniejszymi opcjami są mosty protetyczne oraz protezy ruchome. Mosty protetyczne polegają na osadzeniu sztucznego zęba pomiędzy dwoma naturalnymi zębami lub filarami; to rozwiązanie jest mniej inwazyjne niż implanty, ale wymaga szlifowania zdrowych zębów sąsiadujących. Protezy ruchome to kolejna opcja dla osób z brakującymi zębami; są one tańsze niż implanty i łatwiejsze w zakupu, ale mogą być mniej komfortowe i wymagać częstszej wymiany. Inna alternatywa to tzw. „implanty mini”, które są mniejsze i mniej inwazyjne niż tradycyjne implanta; mogą być stosowane w przypadkach braku miejsca w jamie ustnej lub przy ograniczonej ilości tkanki kostnej.
Jak przygotować się do zabiegu wszczepienia implantów
Przygotowanie do zabiegu wszczepienia implantów zębów jest kluczowym etapem procesu leczenia i wymaga odpowiedniej organizacji oraz współpracy ze specjalistą. Na początku pacjent powinien odbyć szczegółową konsultację stomatologiczną oraz diagnostykę obrazową, która pozwoli ocenić stan kości oraz ogólną kondycję jamy ustnej. Lekarz może zalecić wykonanie badań krwi oraz innych testów zdrowotnych w celu wykluczenia ewentualnych przeciwwskazań do zabiegu. Ważne jest również omówienie przyjmowanych leków oraz chorób przewlekłych, które mogą wpłynąć na przebieg leczenia. Na kilka dni przed planowanym zabiegiem warto unikać palenia papierosów oraz spożywania alkoholu, ponieważ te czynniki mogą negatywnie wpływać na proces gojenia się tkanek pooperacyjnych.
Jakie są najnowsze technologie w implantologii zębów
W ostatnich latach implantologia zębów znacznie się rozwinęła dzięki nowym technologiom, które poprawiają skuteczność i bezpieczeństwo zabiegów. Jednym z najważniejszych osiągnięć jest zastosowanie technologii cyfrowych, takich jak skanowanie 3D oraz komputerowe planowanie zabiegów. Dzięki tym narzędziom lekarze mogą dokładnie zaplanować miejsce wszczepienia implantu oraz dostosować jego kształt i rozmiar do indywidualnych potrzeb pacjenta. Kolejną innowacją są implanty o specjalnej powierzchni, które przyspieszają proces osteointegracji, co pozwala na szybsze gojenie i lepsze połączenie implantu z kością. Ponadto, rozwój materiałów biokompatybilnych sprawił, że implanty są coraz bardziej trwałe i odporne na korozję. Warto również wspomnieć o technikach regeneracji kości, które umożliwiają wszczepienie implantów nawet w przypadkach znacznego zaniku tkanki kostnej.




